体内で骨がゆっくり消えゆく奇病「ゴーハム病」 ― 原因は完全不明、遺伝でもなく… まさに生き地獄ノ病状とは!?
人間の骨は頼もしい。身体全体を支えるだけの強度を持ちながら、たとえ骨折しても適切な処置をすれば時間の経過とともに元の状態に戻ってくれる。だが、これには“健康な骨の持ち主なら”、という但し書きがつく。もし、自分の骨が身体の中で溶けてなくなるとしたら――現実を直視できるだろうか。
■骨がゆっくりと溶ける「ゴーハム病」とは
スコットランドにある「Royal Infirmary of Edinburgh(エディンバラ王立診療所)」を、ひとりの女性(44歳)が受診に訪れた。しばらく前から左肩に痛みを感じるようになったからだった。MRIで検査したところ、上腕骨に病変が見つかり、その部位からがんが疑われたため、すぐに生検に回されたという。しかし、診断結果が今ひとつはっきりしない。
「Oddity Central」の記事より医師たちは困惑したが、病名のつかないまま1年半が過ぎた。その間にも病状は悪化の一途をたどり、女性患者は腕の痛みや腫れを訴え続けた。あるとき、肩口に小さなコブができていることに気づき診察してみると、なぜか骨折していたという。
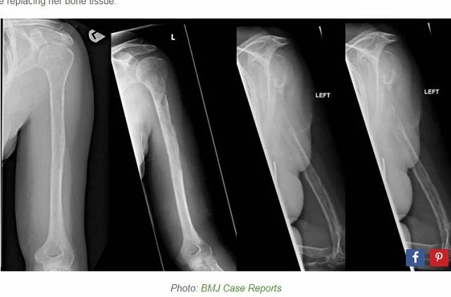
だが18カ月後、突如として病名が判明。医療チームが彼女のレントゲン写真をつぶさに検証し、ある驚異を発見したのだ。なんと、患者の上腕骨と尺骨が、レントゲンを撮るたび徐々に細くなっていく――ゴーハム病だった。
「Oddity Central」の記事より 別名「Vanishing Bones Syndrome(大量骨溶解症)」は、その名の通り、体内にある骨組織が溶けてゆき、線維性組織と拡張した壁の薄い血管に置換される奇病だ。きわめて稀な疾患であり、日本では平成27年7月1日から指定難病に登録されている。発症の原因はまったくわかっていない。ただ、遺伝性は認められないという。
■世界中で64件しか記録されていない奇病
骨が徐々に失われていくという、あまりにレアケースであるがゆえ、1838年に発見されて以来、現在までに世界中で64件しか記録されていないが、少ない症例が災いして病気を正確に診断することは非常に難しいといわれている。
なによりやっかいなのは、この病気に対して効果的な治療法が確立されていないことだろう。つまり、発病したら最後、根治する見込みは極めてゼロに近い。
担当医たちは、それぞれの判断で病気が進行した部位を外科的に切除、あるいは骨の自然治癒力を信じて移植手術、または放射線治療や服薬しかないという。まさに、患者にとっては生き地獄に違いない。
「BML Case Reports」の記事よりIBMの調査によると、現在、世界には1万2000種の病気が確認されているという。そして、主要な疾病の中で地上から根絶できたのは、天然痘だけだ。
たしかに、難病の治療研究は遅々として進んでいないかもしれない。だが振り返れば、かつて不治の病とされたものでさえ、注射1本、錠剤1粒で劇的に治癒されてきたことも医学上の事実なのだ。そう遠くない未来に、これら難病に光明が差すことを願ってやまない。
参考:「Oddity Central」、「BML Case Reports」、「Newsweek」、ほか
※ 本記事の内容を無断で転載・動画化し、YouTubeやブログなどにアップロードすることを固く禁じます。
関連記事
人気連載
“包帯だらけで笑いながら走り回るピエロ”を目撃した結果…【うえまつそうの連載:島流し奇譚】
現役の体育教師にしてありがながら、ベーシスト、そして怪談師の一面もあわせもつ、う...
2024.10.02 20:00心霊体内で骨がゆっくり消えゆく奇病「ゴーハム病」 ― 原因は完全不明、遺伝でもなく… まさに生き地獄ノ病状とは!?のページです。手術、佐藤Kay、難病、入院、ゴーハム病、大量骨溶解症などの最新ニュースは好奇心を刺激するオカルトニュースメディア、TOCANAで


