2017年8月

何かをあきらめるのを、子どものせいにしてないか ― 家族全員がパンクロッカーの日常を追ったドキュメンタリー映画『MOTHER FUCKER』がヤバイ

 25年にわたり、ある意味で正体不明、謎の集団として日本のアンダーグラウンドシーンで暴走し続ける音楽レーベル“Less Than TV”(以下:レスザン)。パ...

NEW 

新種セクシャリティ「デミセクシャル(半性愛)」が確認される! 性欲が“ないのにあ...

 セクシャルマイノリティー(性的少数者)の認知が世...

NEW 

中国政府、AIとビッグデータ活用で犯罪者を“事前に割り出す”システム構築へ! 包...

15年前に公開された映画『マイノリティ・リポート』を...

NEW 

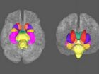
うつ病は脳の病気であることが科学的に判明か!? 史上最大級のリサーチで脳内の“質...

スコットランドにあるエディンバラ大学の研究者が、脳の...

NEW 

NASAが月の北部で「巨大ピラミッド」を写してしまう?クレーター内部に宇宙人基地...

またしても月面で異常が確認されたとのニュースが入って...

NEW 

北朝鮮のミサイル発射→2017年に第三次世界大戦勃発はノストラダムスが予言していた!! 「27年続く」殺し合いの衝撃的結末とは!?

中世ヨーロッパに登場した希代の大予言者・ノストラダムの予言集に“2017年予言”があったことが報告されている。その予言によればなんと、2017年中に第三次世界大...

NEW 

本当にあった身の毛もよだつ航空機事故5選!! 空中分解、エンジン脱落、機長吹っ飛びまで…!

ウクライナの航空機エンジニアであるウラジーミル・タタレンコ氏が、緊急時に客室部分を機体から切り離す構造の旅客機を発表し、世界中のメディアをあっと言わせたのは20...

NEW 

火星で発見された「古代エイリアンの骨」のようなものに対し、 遂にNASAが公式見...

地球外生命体がいそうな惑星候補ナンバー1である火星―...

NEW 

北朝鮮が戦争秒読みなのは「ディープ・ステート(影の政府)」の巨大な陰謀! 元米将...

――聖書・ノストラダムス、E・ケイシー、出口王仁三朗...

NEW 

「見た瞬間、背筋が凍った」“脚のない不気味な霊”が防犯カメラにハッキリ映り込む!...

 夕食中のアメリカのある夫婦に、世にも恐ろしい怪奇...

NEW 

子どもたちが相次いで失踪する謎の森 ― アンジェルス国有林の3つの消失事件=アメ...

【世界を震撼させた知られざる“大未解決事件” 完全紹...

NEW 

【死刑囚の実像】“不器用すぎる”凶悪殺人者・高橋明彦と会う ― 取材でわかった“まさかの殺人理由”とは?(会津美里町夫婦殺害事件)

――人を殺した人と会う。死刑囚の実像に迫るシリーズ【19】  社会を震撼させた凶悪殺人事件の犯人と会ってみると、案外普通の人物であることは少なくない。5年前に福...

NEW 

今年1番のUFO動画が早くも決定か!? 白昼堂々複数の白煙タイプの飛行物体が出現、のび縮みを繰り返す!

美しい海が人気の観光スポットで8月10日、正体不明の飛行物体の一群が目撃されていた。快晴の青空に次々現れる奇妙な飛行物体を慌てて収めたという動画が話題を呼んでい...

NEW 

家族同士で殺し合い、10歳娘も通電…! 実録ホラーマンガ家が語る「北九州監禁殺人...

福岡県北九州市と小倉市を舞台に1家6人を含む合計7人...

NEW 

キューバの「音響攻撃」はHAARPを使った米の自作自演か!? トランプ政権の黒い...

 今月10日、米CNNをはじめとする複数の海外メデ...

NEW 

20代から時間が止まっている男!? まったく老けないハンサムすぎるオッサン写真家...

どの写真を見ても完璧なハンサム男性、チュアンド・タン...

NEW 

思考を盗聴する新型「スマートダスト」がもうすぐ世界中にバラ撒かれる!? 知らぬ間...

洋の東西を問わず国家の歴史は、支配層による情報収集と...

NEW 

スキンヘッドで眉なしメタボ女がトップレスで座禅!? マッドサイエンティストたちが人体実験を繰り返す怪作!

――絶滅映像作品の収集に命を懸ける男・天野ミチヒロが、ツッコミどころ満載の封印映画をメッタ斬り! 『RUBBER’S LOVER』 1996年・ホネ工房、光和...

NEW 

TOCANAおすすめコンテンツ

【TOCANAにバナー広告を出しませんか?】自分を売り出すチャンス!
【衝撃】UFOを次々捉える自動観測ロボ「SID-1」開発者の宇宙現象観測所センター所長、北島弘さんに話を聞いてみた!
ガチで頭が冴える… 集中力も爆上がり!?最強ドリンク『アダプトラテ』を飲んでみた結果がマジで凄かった

人気記事ランキング17:35更新